Introduction
Lunch breaks at Raffles Place or late-night supper runs in Tampines often end with bubble tea in hand, but many of us notice stains, sensitivity, or dull-looking teeth soon after. In Southeast Asia, bubble tea consumption has surged by over 20% in recent years, and humid tropical weather only worsens oral health challenges. We see this concern daily across Singapore’s multicultural beauty community. As SINGA BEAUTY, we specialise in Asian beauty realities, from thinner enamel to sugar-rich diets shaped by regional food culture, and we understand how lifestyle habits impact appearance and confidence. In this article, we explore the impact of bubble tea on your teeth, explain why Asian smiles need extra care, and share practical prevention strategies alongside professional solutions, helping you enjoy your favourite drink without compromising a bright, healthy smile.

How Bubble Tea Affects Your Teeth in Singapore’s Climate
Sugar and Acid Exposure from Bubble Tea
We often underestimate the sugar load in bubble tea, which can reach 30–60g per cup in Singapore. That exceeds daily recommendations and feeds acid-producing bacteria. Combined with tea acidity, this weakens enamel, especially common among Asians with naturally thinner enamel, according to regional dental studies.
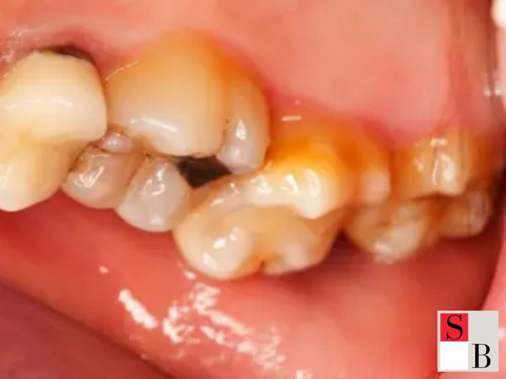
Staining Risks for Asian Enamel
Dark tea tannins and brown sugar pearls cling easily to enamel. In our humid tropical climate, dehydration reduces saliva protection, making stains set faster. As one Singapore dentist notes, “Frequent sweet tea drinking accelerates visible staining on Asian teeth.”
Modern Habits vs Traditional Oral Care
Traditional rinsing habits once helped reduce residue, but today’s fast-paced Singapore lifestyle limits oral care after drinks. We see this shift increase sensitivity and dullness across Southeast Asia, validating the need for updated prevention strategies.

Why Bubble Tea Causes Greater Teeth Damage in Asia
High Sugar Intake in Southeast Asian Diets
We consume more sweetened drinks than many regions, and bubble tea is a daily habit for many Singaporeans. Health agencies report that over 60% of adults here exceed recommended sugar intake, raising risks of enamel erosion. This pattern makes bubble tea teeth damage more visible across Asian smiles.
Tropical Climate and Oral Health Stress
Our hot, humid climate reduces saliva flow through dehydration, limiting natural enamel protection. When bubble tea sugars linger longer, bacteria thrive. A local dental expert explains, “Humidity accelerates plaque buildup, especially with frequent sweet drinks.” We see this effect in busy CBD lifestyles.
Modern Beauty Expectations in Singapore
Traditionally, oral care focused on hygiene, not aesthetics. Today’s Singapore professionals value bright smiles for confidence. We balance modern whitening goals with Asian enamel care, validating prevention-first approaches across Southeast Asia.

How to Prevent Bubble Tea Teeth Staining in Singapore
Smarter Bubble Tea Choices
We can reduce bubble tea teeth damage by adjusting how we order. Choosing 0–25% sugar lowers enamel stress, while milk-based teas stain less than fruit or brown sugar options. In Singapore, many chains now promote reduced-sugar menus, supporting healthier Asian beauty habits backed by Health Promotion Board guidance.
Timing, Rinsing, and Daily Care
Drinking bubble tea with meals limits acid exposure. Rinsing with water right after helps wash away sugars, which is crucial in our tropical climate. A local dentist shares, “Simple rinsing can significantly reduce staining for frequent tea drinkers.” We see this as practical prevention.
Modern Habits for Busy Lifestyles
Traditional rinsing after tea is fading in fast-paced Singapore routines. We encourage pairing modern oral care tools with cultural habits to protect smiles across Southeast Asia.

Professional Teeth Whitening Solutions in Singapore
Expert Teeth Whitening Care at Wellaholic
Wellaholic is a trusted aesthetic provider with years of experience serving Singapore’s diverse beauty community. Their teams understand Asian enamel sensitivity and lifestyle habits, including frequent bubble tea consumption. With multiple outlets islandwide, they deliver accessible, professionally guided teeth whitening Singapore clients rely on for safe, visible results.
Advanced TeethWhite Treatment for Asian Teeth
Wellaholic’s TeethWhite treatment uses controlled, non-invasive whitening technology designed for Asian enamel. Treatments are completed in under 30 minutes and can brighten teeth by several shades. An aesthetic consultant shares, “Our approach focuses on effective whitening without compromising enamel comfort, even for sensitive teeth.”
Personalised Expert Recommendations
Their experts assess lifestyle habits and staining patterns to customise each plan. Clients often see improved brightness with proper maintenance guidance. Learn more about their professional approach at Wellaholic’s TeethWhite treatment page: https://wellaholic.com/teethwhite/.

Managing the Impact of Bubble Tea on Your Teeth
We have seen how the impact of bubble tea on your teeth goes beyond stains, especially in Singapore’s sugar-rich, tropical environment. Frequent consumption, combined with humidity and thinner Asian enamel, raises risks for over 60% of locals who already exceed daily sugar limits. Awareness, not avoidance, makes the real difference.
We address common pain points like sensitivity, dullness, and confidence concerns by focusing on prevention and smart care. Simple habit changes, paired with professional guidance when needed, help protect smiles long term. This balanced approach fits modern Singapore lifestyles without sacrificing enjoyment.
We encourage mindful choices, consistent oral care, and timely expert support. When we care for our teeth as part of overall beauty, we build confidence that lasts—one bubble tea at a time.
